Welcome to

Lancashire Online Knowledge

Image Credit Header image: Artwork by Professor Lubaina Himid, CBE. Photo: @Denise Swanson


Higher rate of progesterone receptor positivity in skeletal metastases of breast cancer with a pathological fracture vs those without fracture

Rajkovic, Stanislav M., Charalambous, Michalis P., Charalambous, Charalambos P., Simic, Ljubica D., Djuricic, Goran J., Dundjerovic, Dusko M., Miceta, Lazar D., Milicic, Biljana R. and Sopta, Jelena P. (2023) Higher rate of progesterone receptor positivity in skeletal metastases of breast cancer with a pathological fracture vs those without fracture. International Journal of Cancer (IJC) . ISSN 0020-7136

[thumbnail of AAM]
Preview
PDF (AAM) - Accepted Version
255kB
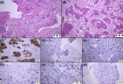
[thumbnail of Figure 1]
Preview
Image (TIFF) (Figure 1) - Supplemental Material
5MB
[thumbnail of Table 1]
Preview
PDF (Table 1) - Supplemental Material
111kB
[thumbnail of Table 2]
Preview
PDF (Table 2) - Supplemental Material
94kB
[thumbnail of Table 3]
Preview
PDF (Table 3) - Supplemental Material
119kB

Official URL: https://doi.org/10.1002/ijc.34605

Abstract

Identifying risk factors for fracture occurrence in breast cancer (BC) skeletal metastases (SM) may guide the management of such bone deposits. There is sparse evidence regarding receptor status in SM and their relationship to fracture occurrence. Our study aimed to determine the relationship between estrogen (ER), progesterone (PR) and HER2 receptor status and Ki-67 index and fracture occurrence in SM of BC. Exactly 152 samples of SM of BC obtained from individual patients were evaluated. The status of the aforementioned receptors and Ki67 index were determined in SMs samples. Their expression was compared between SM that did and did not develop a fracture. Ninety-one cases sustained a pathological fracture at the SM site, and 61 did not. Patients who sustained a pathological fracture had a higher rate of PR positivity at their SMs as compared to those with no fracture. There was no significant difference between the two groups concerning ER, HER2+ or Ki67 status. SMs secondary to BC with a fracture are more likely to be PR positive than those with no fracture. Determining the receptor status in SMs may identify high-risk groups for fracture occurrence, and determining the PR status may also guide surgical and hormonal therapy.


Repository Staff Only: item control page